保険診療
症例紹介
一般歯科
下の写真の一番左は実は治療前の写真です。痛みもなく一見問題なく入っている銀歯も除去してみると中に虫歯が。殺菌作用のある薬を詰めて治療中です。外からは分かりずらい虫歯も多いので定期検診がおすすめです。

- 治療前

- 除去

- 治療中
エンドシステム
歯の根の治療は基本的な治療ですがとても複雑。
専用機器を使ったシステマチックな治療で効率良い処置を行っています。

- エンドシステム

- エンドシステム治療
小児歯科
子供は口の中の汚れのコントロールが難しいものなので専門的な予防処置が重要。しっかり歯のあいだまで磨き込んでからフッ素を歯に塗り込んでいきます。



- 小児予防
口腔外科
保存不可能な歯を抜いても親知らずがあれば、それを抜いた所に移植できるんです。
その他、難しい位置にある抜歯や歯周外科等も行っています。

- 施術前

- 施術後
自費診療
症例紹介
自費診療の保証について

当院の自費診療の詰め物には、3年間
の保証期間を設定しています。
ただし、3年と言わず、もっと長く使って頂きたいので、定期的な検診には必ずいらして下さい。
また治療には、医療用レンズとして定評がある{ドイツSCHOTT社製ZUMAXプロルーペ}を使用して拡大視野のもと、より精度の高い処置を目指しています。
スペシャル予防処置
予防はすでに汚れ取り、フッ素塗布だけではありません。今は歯の成分配合のペーストを取り込んでミクロの傷を修復することが出来るんです。一歩進んだ予防処置で虫歯に強い歯を。


矯正治療
下の写真は受け口の方、見た目も下あごが出ています。
けれど正しい咬み合わせにできるんです。顔つきも変わりました。

- 施術前

- 施術後
下の写真は出っ歯の方、口もうまく閉じません。
治療後は上下の歯のバランスも良くなって口元もすっきりしました。

- 施術前

- 施術後
インプラント
第3の歯インプラントも診断が一番大切。適切な治療が成功の鍵です。
入れ歯から開放されて快適な食生活を送って下さい。残っている歯にとっても最適な治療法です。

- 施術前

- 施術後

- イメージ
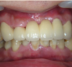
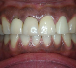
セラミック治療
こんな歯並びでもご心配なく。矯正という方法をとらなくても、ここまできれいに治せるんです。見た目だけでなく歯ブラシもやり易くなりました。笑顔に自信がつきますよ。

- 施術前

- 施術後
ホワイトニング
歯を削らなくても歯の色を明るく出来るんです。
歯も見た目の一部です。人からの印象も大きく変わります。

- 施術前

- ホワイトニング中

- 施術後
タバコ等で変色してしまった歯ぐきの黒ずみもレーザーや治療薬でこんなに取れるんです。歯の色までも明るく感じられるのも良いですね。

- 施術前

- ホワイトニング中

- 施術後
審美入れ歯
入れ歯は残っている歯に針金を引っ掛けるのが欠点。歯に負担をかけ見た目にも入れ歯と分かってしまう。針金を使わない入れ歯なら見た目だけではなく、歯にも負担が少ないですよ。

- 施術前

- 施術後

- 施術前

- 施術後
レーザー治療当院は2種類のレーザー機器を使い分けて治療しています。
CO2レーザー
CO2レーザーは表層治療に適していて、外科処置後も治りがきれいで、処置後の痛みも少ないです。

- 施術前

- レーザー照射中

- 施術後
YAGレーザー
ヤグレーザーは深層治療に適していて虫歯を取り除く事や深い歯ぐきの歯周治療に効果的です。

- 施術前

- レーザーで虫歯除去中









